Roter Rain 9, 63755 Alzenau

Heute geöffnet bis 18:00 Uhr

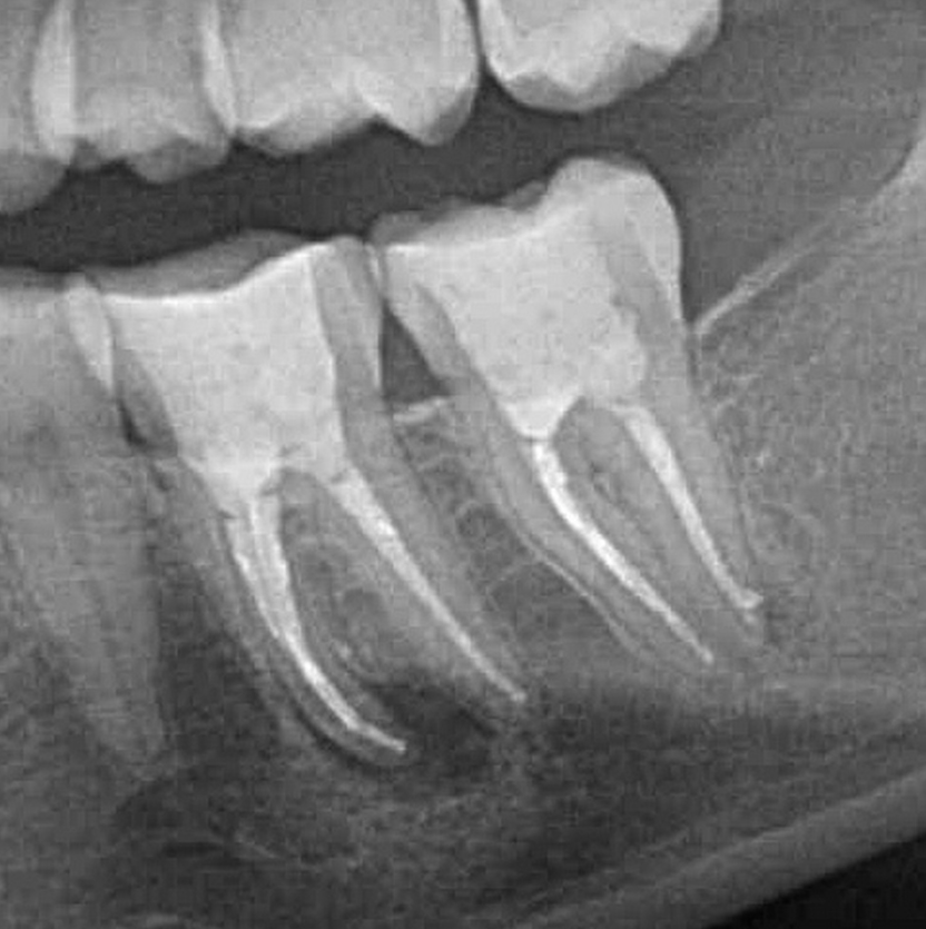
Moderne Endodontie
(Wurzelkanalbehandlung)

Wurzelkanalbehandlung

Wenn ein Zahn immer wieder Schmerzen bereitet, ist die Ursache oft eine Entzündung des Nervs, meist ausgelöst durch tiefe Karies. Mit einer Wurzelkanalbehandlung und dichter Wurzelfüllung lässt sich der Zahn aber in den meisten Fällen doch noch erhalten. Durch moderne Behandlung mit hoch flexiblen Nickel-Titan-Instrumenten und neuartigen Maschinensysteme lassen sich heute Zähne erhalten, die man früher hätte entfernen müssen.


Weiterhin wird in unserer Praxis mit Lupenbrille, elektronischer Längenbestimmung des Wurzelkanals und speziellen Ultraschallgeräten bei der Aufbereitung gearbeitet. Außerdem bieten wir auch den Austausch (Revision) von alten unvollständigen Wurzelfüllungen an. Mit all diesen Maßnahmen schaffen wir die optimalen Voraussetzungen, dass Sie ihren eigenen Zahn noch viele Jahre behalten können .



Steht bei Ihnen eine Wurzelkanalbehandlung an? Wollen Sie eine Behandlung nach modernsten Methoden, dann vereinbaren Sie bitte einen Termin bei uns!

Cookies auf Rezept
Durch die weitere Nutzung der Seite stimmst du der Verwendung von Cookies zu. Weitere Infos Schließen